作者简介:秦聪丽,1989年生,女,河北省石家庄市人,在读硕士研究生,从事绿色工艺催化剂研究。
对利用柚子皮提取液还原制备钯纳米颗粒及其降解偶氮染料甲基橙进行研究,采用X射线衍射、电子能谱、透射电镜和傅里叶红外光谱对制备的钯纳米颗粒进行表征与分析,并通过紫外-可见分光光度法研究其对甲基橙的催化降解能力。结果表明,生成的钯纳米颗粒平均粒径约80 nm,粒径分布窄,分散性好,对甲基橙有很好的降解效果。
Palladium nanoparticles were synthesized by using grapefruit peel extract and their performance for methyl orange degradation was studied by UV-Vis spectra.The products were characterized and analyzed by X-ray diffraction,electron spectroscopy,transmission electron microscopy and Fourier Transform infrared spectrometer.The results showed that the as-prepared palladium nanoparticles has the average particle size of about 80 nm,and possessed narrow particle size distribution and good dispersion.Pd nanoparticles exhibited good properties of methyl orange degradation.
钯纳米颗粒由于具有独特的物理、化学、光学和热力学性质, 在催化、传感器及生物医药等方面有重要的应用价值[1, 2, 3]。钯纳米颗粒的制备主要采用物理和化学方法, 但此方法成本高, 污染环境。生物还原法制备金属纳米颗粒是近年来新兴起的绿色合成技术, 具有还原条件温和、无污染和来源广等优点[4], 研究主要集中在金、银纳米颗粒, 对于钯纳米颗粒的研究报道较少, Ramesh Kumar Petla等[5]利用大豆叶还原Pd2+, 制备出平均粒径为15 nm的钯纳米颗粒。Naveen Prasad B S等[6]利用海带还原Pd2+, 制备出粒径为(60~80) nm的球型钯纳米颗粒。李清彪等[7]利用栀子还原Pd2+, 制备出粒径为(2~10) nm的球形Pd纳米颗粒, 并且在水溶液中具有很好的分散性和稳定性。张峰等[8, 9]利用芳樟叶和银杏叶的提取液成功还原出平均粒径约4 nm和粒径(10~40) nm的Pd纳米颗粒, 研究表明, 不同的植物具有不同的还原作用。
本文以柚子皮提取液为还原剂, 研究其还原Pd2+的能力, 并通过降解甲基橙[10]考察其催化性能, 采用X射线衍射、电子能谱、透射电镜和傅里叶红外光谱对制备的钯纳米颗粒进行表征与分析, 并通过紫外-可见分光光度法研究其对甲基橙的催化降解能力。
硝酸钯、甲基橙、H2O2, 分析纯; 实验用水为去离子水; 无水乙醇。
柚子皮干粉制备:将柚子皮洗净, 晒干, 用高速万能粉碎机粉碎至颗粒大小约100目, 常温保存在玻璃瓶中备用。
提取液制备:称取5 g柚子皮干粉于锥形瓶中, 加入100 mL去离子水, 再加入150 mL无水乙醇, 60 ℃水浴锅中搅拌24 h, 自然冷却, 静置, 取上层清液即为20 g· L-1的柚子皮提取液。
钯纳米颗粒制备:以柚子皮提取液为还原剂, 按体积比1:1分别量取20 mL浓度为0.01 mol· L-1硝酸钯溶液与20 g· L-1提取液混合, 60 ℃水浴锅中反应24 h, 自然冷却后, 将所得沉淀水洗离心, 在真空干燥箱中60 ℃干燥, 制得钯纳米颗粒。
量取20 mL的500 mg· L-1甲基橙溶液于锥形瓶中, 再加入一定量制备的钯纳米颗粒, 滴加一滴H2O2形成类芬顿体系, 放入恒温振荡器中振荡, 10 min(达到平衡)后取出, 上层清液过0.45 μ m滤膜用于紫外分析。
采用XRD对生成钯颗粒的晶体结构进行定性物相分析, 工作电压40 kV, 工作电流250 mA, 狭缝系统(1.0~0.2) mm, 扫描步长0.02° , 扫描时间1.0 s· 步-1, 扫描范围10° ~90° 。
通过TEM观察生成的钯纳米颗粒形貌, 用超薄碳膜蘸取反应液干燥后, 用高倍透射电镜在加速电压200 kV下进行TEM观察和高分辨像观测, 进行选区衍射。
结合X射线EDS分析其元素组成, 利用FT-IR分析柚子皮中的还原物质, 通过UV-Vis检测对甲基橙的降解能力。
图1为钯纳米颗粒的XRD图。
由图1可以看出, 衍射峰的强弱取决于研究对象的晶型以及晶粒大小, 晶粒越大, 衍射峰越强。随着晶粒变小, 衍射峰逐渐减弱。在2θ =40° 出现明显的金属钯衍射峰, 对应单质钯的(111)晶面, 无其他较强的衍射峰, 可能由于制备的钯纳米颗粒高度分散或是无定形。
为进一步分析钯纳米颗粒中元素种类以及含量, 对钯纳米颗粒进行EDS分析, 结果如图2所示。由图2可以看出, C、O和Pb来自柚子皮提取液, 剩余较多的Pd元素则为还原产物, 其中, Au元素来自于制备样品过程中的镀金。
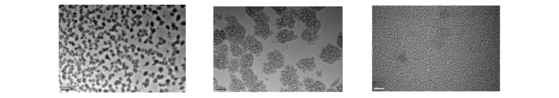
图3为钯纳米颗粒的TEM照片。
从图3可以看出, 钯纳米颗粒虽然大小有所差异, 但总体分布较均匀, 没有产生集聚现象, 这可能是由于植物生物质在纳米颗粒产生过程中起到了保护作用。为了更好地观察颗粒大小差异以及颗粒形状, 对其部分区域放大, 钯纳米颗粒尺寸相差不大, 计算其平均粒径约为80 nm, 并有明显的晶格间距。
利用反应前后柚子皮干粉的红外光谱可判断参与生物还原过程的活性功能基团, 对纳米颗粒形成机理进行研究。图4为反应前后柚子皮抽提液干粉的FT-IR谱图。
| 图 4 反应前后柚子皮提取液干粉的FT-IR谱图Figure 4 FT-IR spectra of the powder of grapefruit peel extract prior to and after reaction |
由图4可以看出, 1 037 cm-1处的吸收峰为多糖的C— O的伸缩振动, 1 433 cm-1处的吸收峰为CH2的变形振动, 1 616 cm-1处的吸收峰为酮羰基峰, 1 740 cm-1处的吸收峰为C=O吸收振动, 2 907 cm-1处的吸收峰为— C— H的振动吸收, 3 332 cm-1处的吸收峰为— O— H振动吸收。对比反应后的红外光谱吸收曲线可以看出, 1 037 cm-1和1 433 cm-1处的吸收峰消失, 其余峰的吸收强度明显减弱。认为钯的生物质还原是生物质中的醛基、羟基和羧基所起作用, 并通过— C— H、— N— H键保护和修饰。
为研究钯纳米颗粒降解甲基橙机理, 测定降解反应前后甲基橙溶液的UV-Vis光谱, 结果见图5。
由图5可以看出, 甲基橙在271 nm和470 nm处各有一个吸收峰, 271 nm处为苯环和萘环结构的吸收峰, 470 nm处为偶氮键特征吸收峰, 通过对比可以看出, 随着降解反应的进行, 甲基橙的特征吸收峰明显下降, 表明通过柚子皮提取液制备的钯纳米颗粒对甲基橙的降解作用不仅体现在偶氮键的断裂, 也表现为芳香环结构和苯环的降解。
(1) 利用柚子皮提取液可还原Pd2+, 制备出钯纳米颗粒。
(2) 还原的钯纳米颗粒分布均匀, 平均粒径约80 nm。
(3) 柚子皮还原制备的钯纳米颗粒对甲基橙有很好的催化降解效果, 表明制备的钯纳米颗粒有很好的催化作用。
The authors have declared that no competing interests exist.
| [1] |
|
| [2] |
|
| [3] |
|
| [4] |
|
| [5] |
|
| [6] |
|
| [7] |
|
| [8] |
|
| [9] |
|
| [10] |
|
